Chirurgie dentaire - Implantologie - Esthétique - Paris 12 ème
Chirurgiens-dentistes - Docteur Pierre BELORGEY - Docteur David TAÏEB
Chirurgie dentaire - Implantologie - Esthétique - Paris 12 ème

58 boulevard de Picpus
75012 Paris

Chirurgiens-dentistes - Docteur Pierre BELORGEY - Docteur David TAÏEB

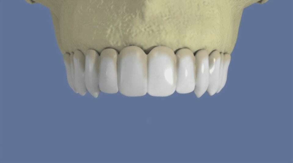
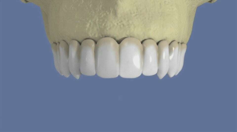
Maxillaire : bridge vissé sans fausse gencive


video-play-icon

Articles similaires