Chirurgie dentaire - Implantologie - Esthétique - Paris 12 ème
Chirurgiens-dentistes - Docteur Pierre BELORGEY - Docteur David TAÏEB
Chirurgie dentaire - Implantologie - Esthétique - Paris 12 ème

58 boulevard de Picpus
75012 Paris

Chirurgiens-dentistes - Docteur Pierre BELORGEY - Docteur David TAÏEB

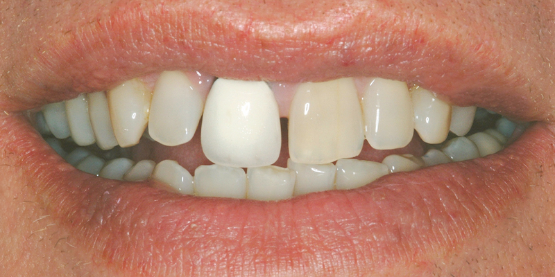
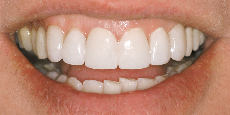
FACETTES LUMINEERS


Grâce à l'application d'une technique très évoluée, les facettes lumineers peuvent être posées en 2 visites sans necessiter de piqûre et sans altérer la structure sensible de vos dents.


La pose de lumineers est indolore, ne demande ni anesthésie ni taille de la structure sensible de vos dents.


Les facettes lumineers n'exigent que 2 rendez-vous pour obtenir un sourire éclatant de blancheur.


De plus les facettes lumineers conservent leur éclat et leur aspect pendant 20 ans et la pose ne comporte auncune limite d'age.


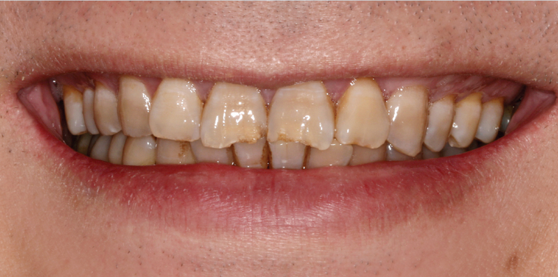
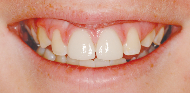
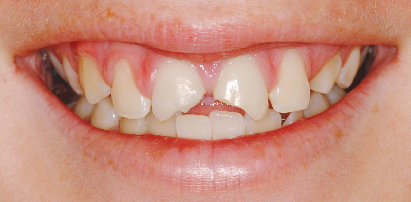
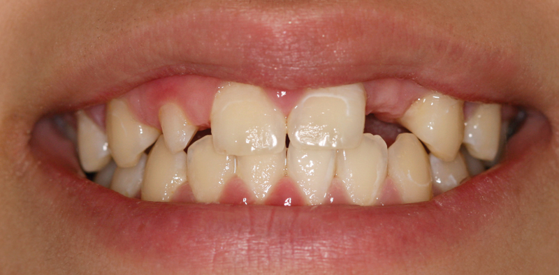
Voici quelques cas de facettes lumineers :

Avant - Après

Avant
Après
Avant
Après
Avant
Après
Avant
Après
Avant
Après
Avant
Après
Avant
Après
Avant
Après
Avant
Après
Avant
Après

Articles similaires